Д-р Александър Фудулски - Специалист по Ортопедия и травматология гр. София
22148ИЗТЕКЪЛ АБОНАМЕНТ
Специалист по „Ортопедия и травматология“
Области на интерес и специална квалификация:
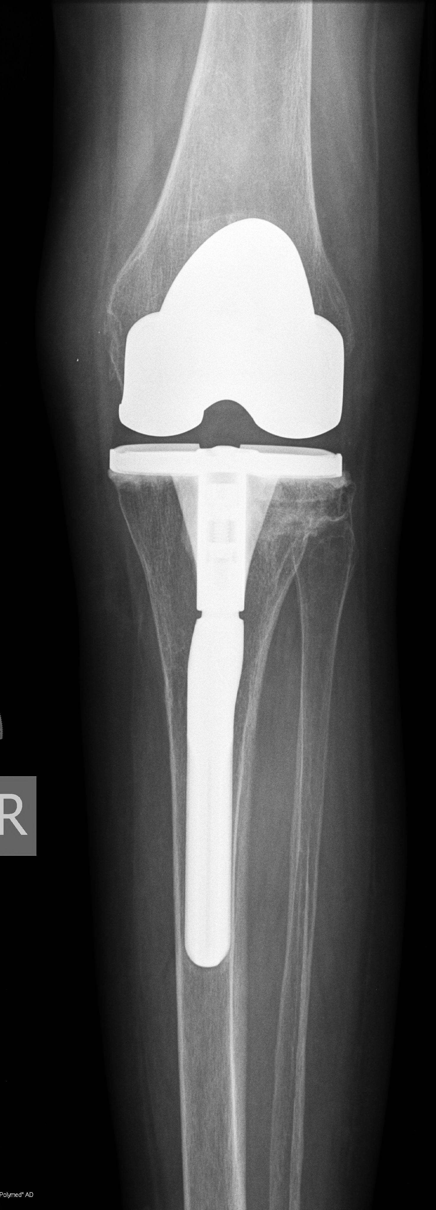
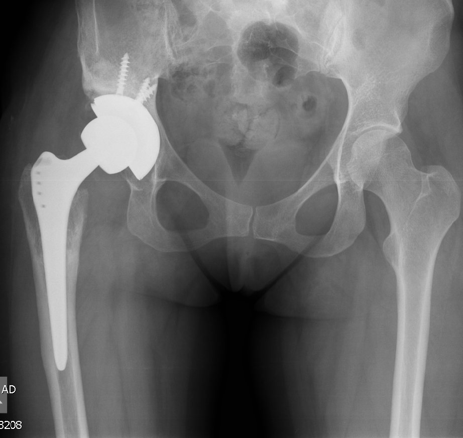
- Ендопротезиране на колянна и тазобедрена става
- Хирургия на ръката
- Хирургия на стъпалото
- Травматология
Професионалните ми интереси към ортопедията се определиха в ранните студентски години, главно от възможността да се постигне пълно възстановяване на увредената функция при правилно лечение.
През октомври 1997 г. започнах работа в „Клиника по ортопедия и травматология“ в болница „Царица Йоанна“, ИСУЛ. В клиниката имах възможността да се уча и да работя с едни от най-добрите в своята област, с доц.Бинка Попова по въпроси от микрохирургията и хирургия на ръката и проф.Тивчев в областа на ендопротезиране на стави, асептични костни некрози и травматология.
Практиката ми беше подкрепена от поредица от специализации по избраните теми в Германия, Швейцария, Унгария, Люксембург и Франция,Австрия.
От Юли 2012г. до Март 2020г. работих в СБАЛ “Полимед“със силен екип от приятели и колеги от „ИСУЛ“.
Сега съм част от екипа на МБАЛ“Доверие“
Основно лекувам заболявания на тазобедрена и колянна става чрез минимално инвазивно ендопротезиране, следтравматични и дегенеративни нарушения на ръката и китката и халукс валгус (популярен като „кокалчета на краката”).
Работно време:
Прегледи:вторник 8.30 - 14.30; б-ца Доверие.
